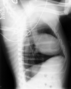
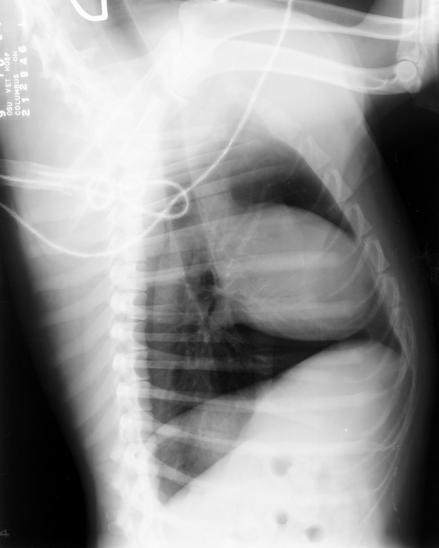
Click to enlarge
Rope Left on Animal

Go Backward Case Index Go Forward