Click to enlarge
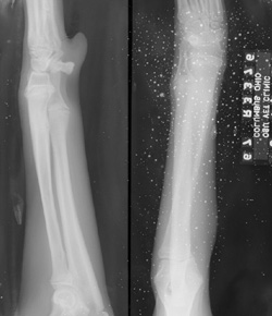
Air Bubbles, Manual processing
Air bubbles trapped on films during development due to inadequate agitation when you first put film in solution. When this film is fixed, the underdeveloped silver is removed, and therefore the spots appear clear.

Go Backward Case Index Go Forward