Click to enlarge
Dirty Screens
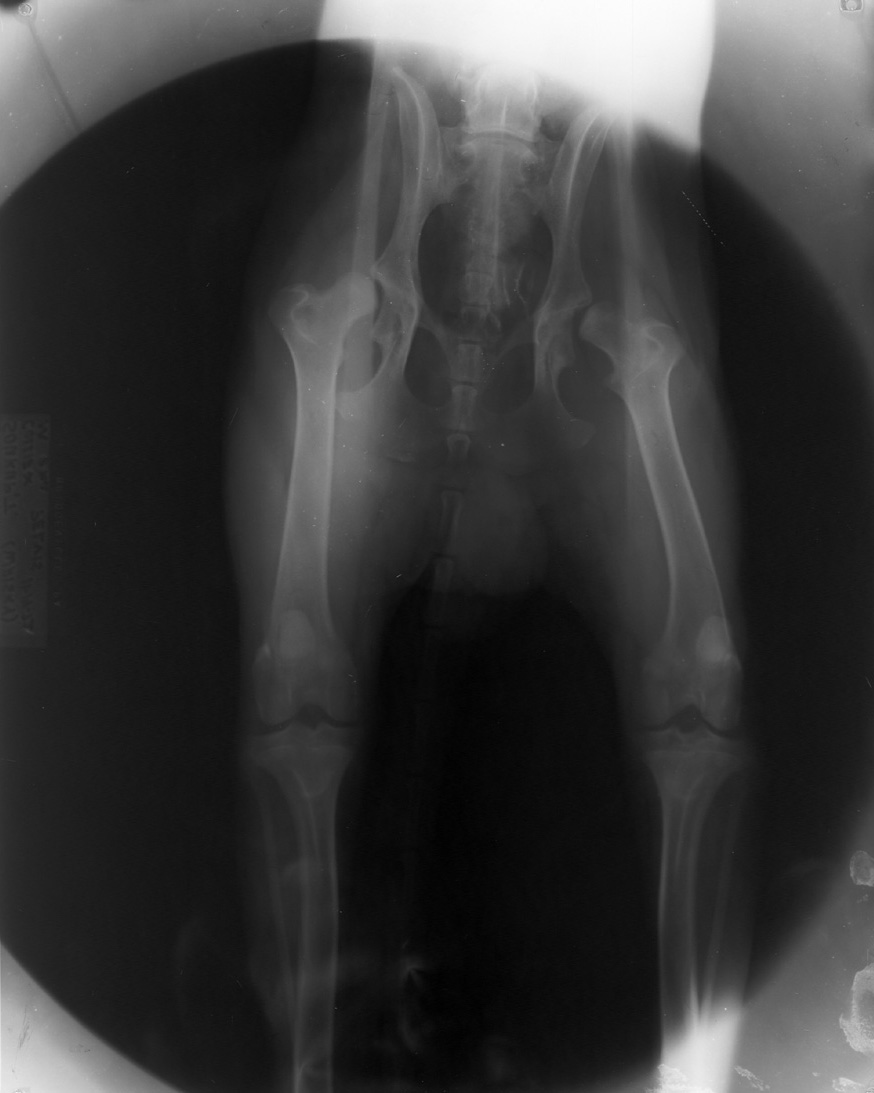
White spots due to dirty screens. Note circular border of radiation - old style x-ray units used cones before collimators were invented.

Go Backward Case Index Go Forward