Click to enlarge Click to enlarge
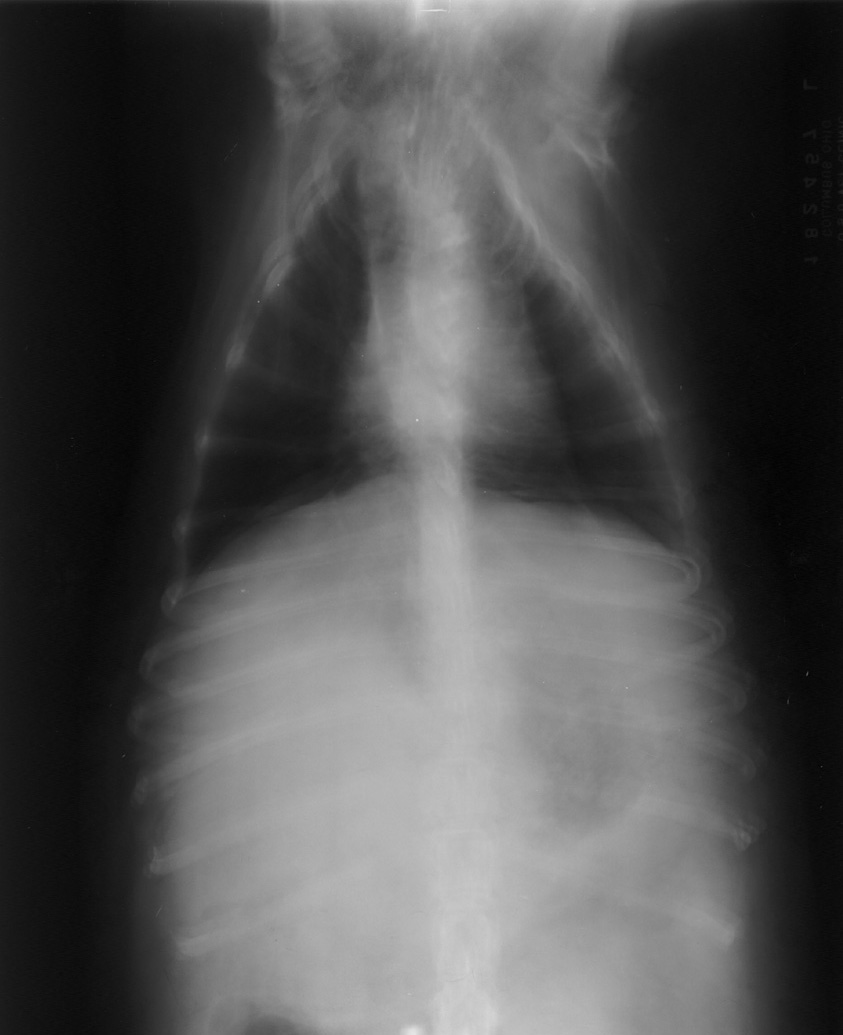
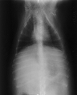
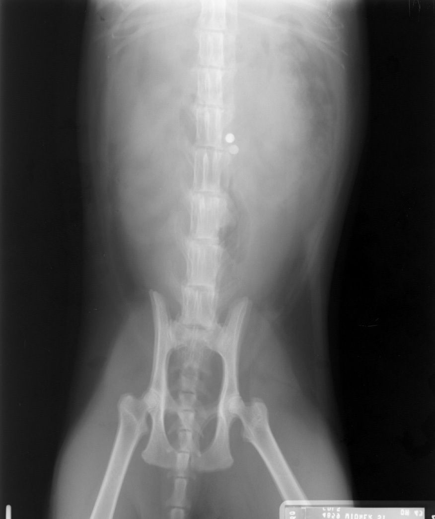
Double Exposures

More Cases:

Go Backward Case Index Go Forward