Click to enlarge Click to enlarge
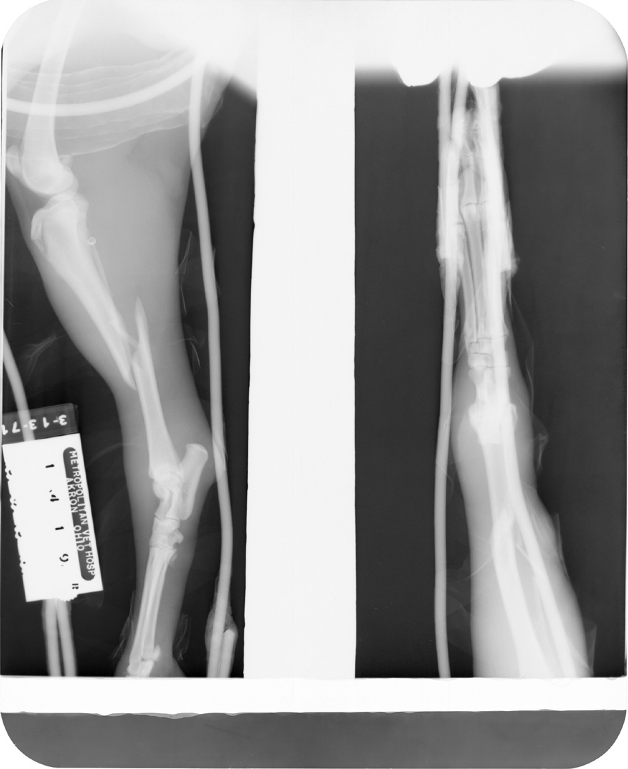
Manual Processing: Fluid levels in tanks too low
The very top edge of the film was neither developed nor fixed; therefore is still has emulsion on it. Clean area was fixed but not developed so al silver was removed from it. The rest of the film was developed and fixed.

Go Backward Case Index Go Forward