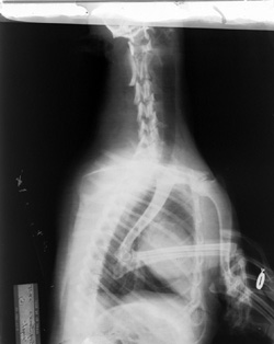
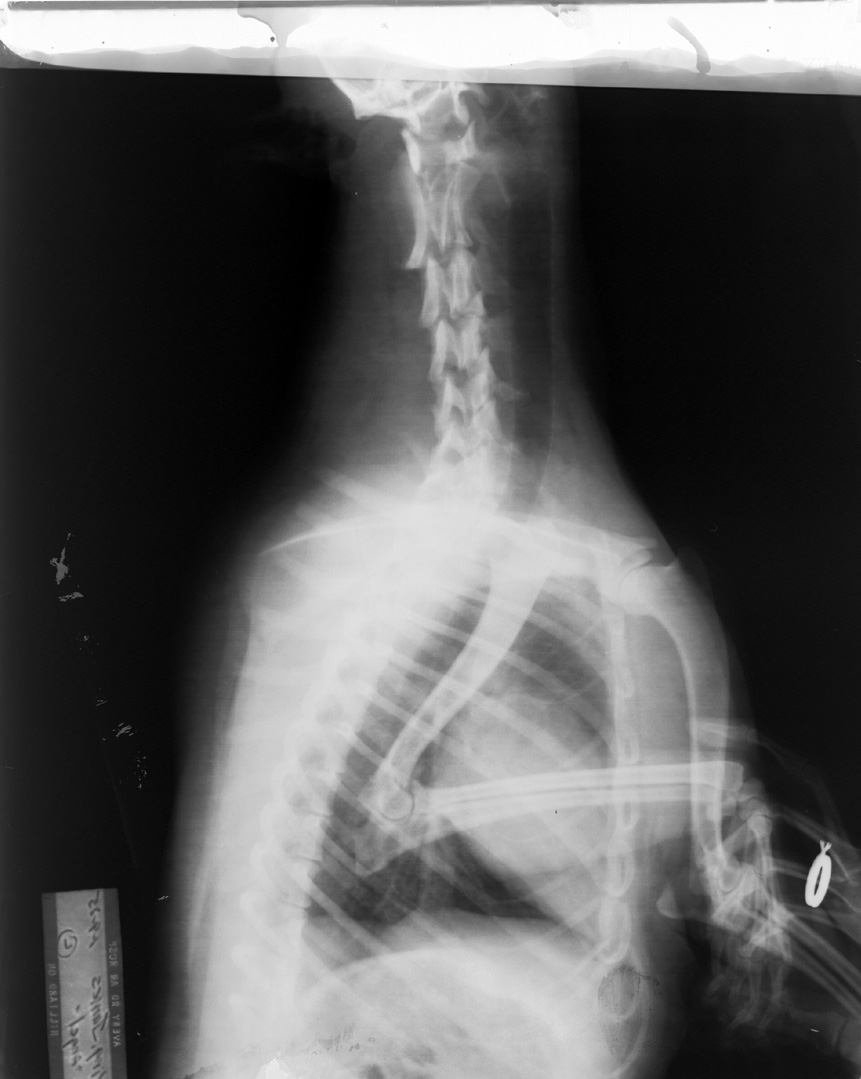
Click to enlarge
Fixer Left on Film, Manual Processing
Inadequate rinsing with brown discoloration due to fixer left on film, hand developed. Fluid levels in tanks too low; very top edge of the film was neither developed nor fixed: therefore, it still has emulsion on it. Clear area was fixed but not developed so all silver was removed from it. This rest of the film was developed and fixed. Note ungloved hand holding front leg. UNACCEPTABLE!!!!

Go Backward Case Index Go Forward