Click to enlarge
Double Exposures
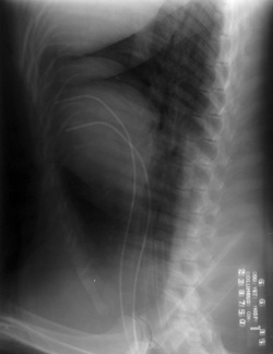
Double exposure during an angiocardiogram. This film was in a special automatic film changer, which jammed and did not move the film out of the way as it should have; therefore a double exposure occured.

Go Backward Case Index Go Forward