Click to enlarge
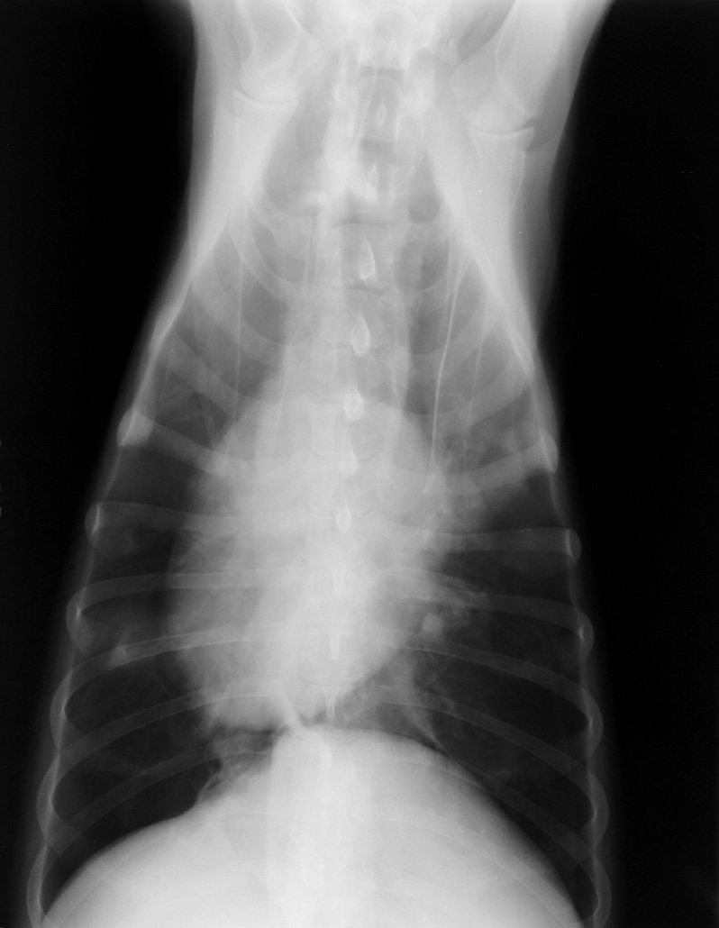
Fingerprints
Oils on your hands can affect the x-ray emulsion and casue these artifacts. Handle only be the edges.

Go Backward Case Index Go Forward